Estudio revela que alpinistas del Everest pueden sufrir atrofia cerebral incluso sin síntomas tras respirar solo el 30% del oxígeno del nivel del mar.
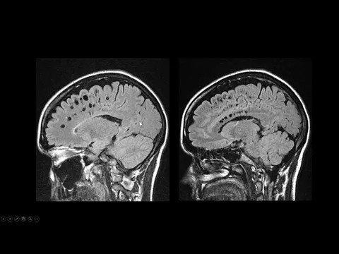
Según la Scientific American, que analizó los resultados de un estudio de resonancia magnética con alpinistas que intentaron el Everest, solo uno de los trece participantes volvió con una imagen cerebral considerada normal. Los otros doce presentaron atrofia cortical o agrandamiento de los espacios de Virchow-Robin, una alteración estructural generalmente asociada al envejecimiento y raramente observada en adultos jóvenes y sanos.
Ninguno de ellos había presentado síntomas graves de enfermedad de altura durante la expedición. Ninguno sabía que había sufrido daño cerebral.
Everest alcanza 8.848 metros y expone al cuerpo humano a la llamada zona de la muerte por encima de 8.000 metros
El Everest tiene 8.848 metros de altitud y su cumbre está ubicada dentro de la llamada “zona de la muerte”, región por encima de 8.000 metros donde la presión atmosférica cae a menos de un tercio del valor al nivel del mar.
-
Brote de hantavirus en crucero moviliza a la OMS tras muertes a bordo y desembarco monitoreado en las Islas Canarias
-
Más de 160 millones de galones de agua, equivalentes a 240 piscinas olímpicas, deben ser bombeados para sacar un portaaviones nuclear de 100 mil toneladas del dique seco; cada uno de estos buques pasa por una revisión completa de 2.800 millones de dólares.
-
El mundo volvió a escuchar a Michael Jackson: el Rey del Pop registra el mayor día de su carrera en Spotify y coloca 10 canciones por encima de los 2 millones de reproducciones en 24 horas
-
Argentina registró un récord de salida de dólares con empresas extranjeras prefiriendo retirar ganancias del país en lugar de reinvertir, mientras que la inversión extranjera directa fue negativa en miles de millones y la prometida avalancha de recursos nunca llegó bajo el gobierno de Milei.
Esto significa que cada respiración proporciona al organismo aproximadamente 30% del oxígeno disponible en condiciones normales. La saturación de oxígeno en la sangre, que normalmente varía entre el 95% y el 100%, puede caer a niveles entre el 50% y el 60%, un umbral considerado crítico en un entorno hospitalario.
El concepto de zona de la muerte fue formulado en 1953 por el médico suizo Édouard Wyss-Dunant, describiendo una condición en la que el cuerpo humano ya no puede aclimatarse, entrando en un declive progresivo.
Crecimiento del turismo en el Everest aumenta la exposición de los alpinistas a riesgos neurológicos extremos
Desde la primera ascensión realizada por Edmund Hillary y Tenzing Norgay en 1953, el Everest ha acumulado más de 13.700 llegadas a la cumbre por alrededor de 7.500 personas diferentes, según el Himalayan Database.
A partir de los años 2000, hubo una expansión significativa del turismo de alta altitud. Entre 2000 y 2025, más personas han subido por encima del campo base que en todas las décadas anteriores sumadas.
En 2025, aproximadamente 850 alpinistas alcanzaron la cumbre, muchos de ellos con poca experiencia en altitudes extremas, aumentando el riesgo de exposición a condiciones fisiológicas críticas.
Estudio científico muestra atrofia cerebral en alpinistas incluso sin síntomas clínicos aparentes
En 2006, el neurólogo Nicolás Fayed y su equipo de la Universidad de Zaragoza publicaron en el American Journal of Medicine un estudio que involucró a 35 alpinistas sometidos a exámenes de resonancia magnética tras expediciones.

Los resultados de la expedición al Everest fueron particularmente relevantes. De los trece participantes analizados, solo uno presentó una estructura cerebral normal. Los demás mostraron alteraciones como atrofia cortical difusa y ensanchamiento de los espacios perivasculares.
Estas alteraciones indican que daños estructurales pueden ocurrir incluso en ausencia de síntomas perceptibles durante la escalada.
Alteraciones en los espacios de Virchow-Robin indican impacto en la circulación cerebral y en el sistema de drenaje del cerebro
Los espacios de Virchow-Robin son canales microscópicos asociados a los vasos sanguíneos cerebrales y al sistema de drenaje del cerebro.
El ensanchamiento de estas estructuras sugiere alteraciones en la circulación cerebral o en la presión del líquido cerebroespinal, indicando que la exposición a altitudes extremas puede comprometer el equilibrio interno del cerebro.
En individuos jóvenes y sanos, este tipo de alteración es inusual, reforzando el impacto fisiológico de la hipoxia prolongada.
Alpinistas aficionados presentan mayor riesgo de síntomas neurológicos tras exposición a altitudes extremas
El estudio también identificó diferencias entre alpinistas profesionales y aficionados. Mientras que los profesionales mostraron un mayor grado de atrofia sin síntomas evidentes, los aficionados demostraron manifestaciones clínicas más perceptibles, incluyendo pérdida de memoria, lentitud cognitiva y dificultades de lenguaje.
Esta diferencia sugiere que la aclimatación progresiva puede reducir síntomas inmediatos, pero no necesariamente evita daños estructurales en el cerebro.
La hipoxia severa compromete el funcionamiento cerebral y activa mecanismos de daño celular
El cerebro humano consume alrededor del 20% del oxígeno del cuerpo, siendo altamente dependiente de un suministro continuo.
En la altitud extrema del Everest, la reducción de oxígeno provoca vasodilatación cerebral, aumento de la presión intracraneal y, en casos más graves, extravasamiento de fluidos hacia el tejido cerebral.
Este proceso puede llevar al edema cerebral de altitud, además de desencadenar mecanismos como el estrés oxidativo y daño a la sustancia blanca, responsable de la comunicación entre regiones del cerebro.
Pérdida de sustancia blanca y gris indica reducción de la conectividad neural tras expediciones
Estudios adicionales, como el de Di Paola et al. publicado en 2008 en el European Journal of Neurology, identificaron reducción de sustancia blanca y gris en áreas específicas del cerebro de alpinistas.
Las regiones afectadas incluyen áreas responsables del control motor e integración sensorial, indicando un posible compromiso de la conectividad neural. Aún sin déficits cognitivos inmediatos, estas alteraciones representan una pérdida estructural relevante.
Los alpinistas que participan en múltiples expediciones están sujetos a un efecto acumulativo de exposición a la hipoxia y variaciones de presión.
Esta acumulación puede aumentar el riesgo de alteraciones neurológicas a lo largo del tiempo, incluso si no hay síntomas evidentes tras cada expedición individual. La medicina aún no cuenta con datos suficientes para cuantificar completamente este riesgo a largo plazo.
La popularización del Everest amplía el riesgo de daños cerebrales silenciosos a escala global
La creciente accesibilidad al Everest ha transformado la montaña en un destino turístico de alto riesgo. Con más alpinistas intentando alcanzar la cumbre cada temporada, también aumenta el número de personas expuestas a la zona de la muerte sin la preparación adecuada.
Esto plantea preocupaciones sobre un posible aumento de daños neurológicos silenciosos a escala global, a menudo no diagnosticados.
La evidencia científica indica que pueden ocurrir alteraciones estructurales incluso sin síntomas inmediatos. Ante esto, surge una cuestión central: ¿el cerebro que regresa de una expedición al Everest mantiene su integridad original o lleva marcas permanentes de la exposición extrema?
En su opinión, ¿los riesgos neurológicos de la altitud están siendo subestimados o aún no han sido completamente comprendidos por la ciencia?

¡Sé la primera persona en reaccionar!